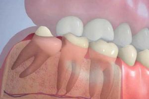
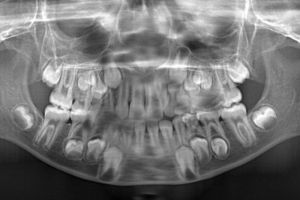
Yirmi yaş dişleri olarakta bilinen üçüncü azı dişleri sıklıkla kemik içerisinde gömülü kalabilir ya da yanlış bir pozisyonda sürebilir. Bu durumda cerrahi yöntemlerle lokal anestezi altında çekilmeleri gerekmektedir. Bazen gömülü kalmış köpek dişlerine de aynı tip cerrahi işlemler uygulanabilir.
